



皆様の中には矯正治療は単に歯並びを良くする治療だと思われている方がおられるかもしれません。あるいは歯並びも気になるけど、口元がでている方がもっと気になるという方もおられるかもしれません。歯並びと口元には密接な関係があります。実のところ、歯並びを綺麗にしたからといって、口元など顔の見た目(審美性)も綺麗になるとは必ずしも言えません。今回は歯並びと口元の関係についてお話したいと思います。
口元がどれぐらい整っているかを見る一つの指標に「E-line(イーライン)」あるいは「E-plane(イープレイン)」と呼ばれるものがあります。これは顔を横から見たときに、鼻の先とオトガイの最も膨らんでいる部分を結んだ線のことを言います。「E-line」の「E」は「Esthetic」の略で審美性を表しています。奥歯を咬んで口を軽く閉じ、安静にしている状態で、E-lineに対して上下の唇がどこに位置しているかで、口元がどれぐらい整っているかを判断します。
日本人では、この線に対して上唇の先はほぼ線上に位置し、下唇の先はこの線より約2mm前方に位置するのが標準的な口元の位置となります。一方欧米人では、この線に対して上唇の先は約4mm、下唇の先は約2mm後方に位置するのが標準的です。日本人と欧米人でこのような差ができるのは、日本人は欧米人に比べ鼻の高さが低く、オトガイ部分の骨があまり発達していないため、E-line自体が欧米人より後方に位置することになり、相対的に口元が出たようになってしまうためです。
生活習慣や食生活、文化的な変化から日本人の顔立ちや見た目の好みも徐々に変化していますが、口元を含めた顔立ちの差は人種的な差なので、日本人が欧米人のようなE-lineになってしまうと、見た目に違和感を覚えるような横顔になってしまいます。日本人では、唇の位置がちょうどE-line上に一致するぐらいになっていると、口元が整って見えます。私が矯正治療する際には、これを一つの目安として治療計画をたてるようにしています。
E-lineに対する唇の位置をどのようにして変化させるのかというと、
1. 前歯の前後的な位置を変える
2. オトガイ部の骨の位置を外科的に変える
という方法があります。
口元が出ている場合、歯を抜いたり奥歯を後に動かすことにより隙間を作り、その隙間を利用して前歯を後方に下げることにより、唇の位置を下げることができます。オトガイ部の骨の成長が極端に悪い場合などには、オトガイ部の骨を部分的に前に出すことにより、相対的に唇の位置を下げることも可能です。ただこの方法の場合にはオトガイ形成術という外科手術が必要になります。
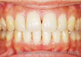
上記の写真の患者さんは当院で治療された患者さんで、歯のガタガタと口元が出ていることを気にされて来院されました。歯のガタガタの量だけを考えれば、歯を抜かなくても治療は十分可能でしたが、上下の唇が出ているのを改善するため、上下の第一小臼歯を左右4本抜歯して前歯を後方に下げる治療を行いました。治療前ではE-lineに対して上唇は約6mm、下唇は約8mm出ていましたが、治療後には上下の唇ともほぼE-line上に位置するところまで改善しました。口元は美しく魅力的となり、患者さんにも大変喜んでいただきました。
このように矯正治療では歯並びだけでなく口元の改善も考慮して治療を行います。外科矯正を行えば、よりダイナミックに顔立ちを変化させることも可能となります。歯並びだけではなく口元の形態を気にされている方は、当院までお気軽にご相談ください。
2013月08月25日
院長 大西 秀威










