こんにちは(^ω^)
今年の夏の甲子園も盛り上がりましたね~![]()
みなさまの中には、実際に応援に行かれたという方もいらっしゃるかと思います![]()
見ている側もつい力が入っちゃいますよね![]()
![]()
個人的には、夏休みを頂いた期間中に実家の長野県
に帰省し、家族や親戚や友達と会ったり、家の近所の温泉
に行ったり、美味しいお蕎麦![]()
を食べて、とても充実したお休みを過ごせました(^∀^)まだまだ暑い日が続きますが、バテないように乗り切りましょう![]()
![]()
![]()
さて今回は、マルチブラケット装置の調整4回目の様子をご紹介します![]()
はじめに、調整前のお口の中の状態です。





今回の調整では、上下ともワイヤーのサイズを少し太いものに変えました
それとついに、下の歯並びの内側に付いていた装置が外れました![]()
![]()
内側が開放的になって嬉しいです
調整後の写真がこちらです![]()
![]()





今までと同様に、上下の装置の間にかけるゴムは引き続き使っていきます![]()
![]()
以上が調整の様子でした![]()
それでは前回の続編、矯正中の歯の磨き方『歯間ブラシとフロス(糸ようじ)編』
をご紹介します![]()
まずは歯ブラシで、前回ご紹介したように、お口の中全体、ワイヤーの下などを磨きます
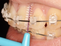
その後登場するのが、この歯間ブラシです![]()



歯ブラシの毛先が入りにくいワイヤーの下にも、歯間ブラシならスルっと入れることができます![]()
写真のようにワイヤーの下に歯間ブラシを潜らせたら、上下に細かく動かします![]()
歯ブラシだけですべての部分を綺麗に磨くのには、限界があります。歯間ブラシを使用することにより、ワイヤーの下や装置周りの細かい所まで綺麗に磨くことができます![]()
![]()
ただ、歯ブラシや歯間ブラシを使用しても、どうしても磨けない部分があります
歯と歯の間です
装置がついていなければ、フロスや糸ようじを使って、歯と歯の間を磨くことができますが、ワイヤーがついていると、そこに引っかかってしまうので、使用することができません
そこで登場するのが、矯正装置専用につくられたフロス(オーソピック)です![]()



一般的なフロスと違い、糸のついている片方の柄の部分が細くなっているので、細くなっている方をワイヤーの下に潜らせることができます
あとは歯と歯の間に糸をゆっくり動かしながら通します![]()
フロスをグイっと強く通してしまうと、逆に歯茎を傷つけてしまう原因になりますので、ゆっくりと優しく使ってくださいね![]()


オーソピックは、柄の先の部分を折り曲げることができるので、奥歯にも使いやすいようになっています![]()
また、持ち手の部分が縦に半分に分かれるようにできていて、白い部分を折り曲げれば、柔らかいピックとして使うことができます。食べカスなどを取るのに便利です![]()
歯間ブラシも矯正用フロスも洗って繰り返し使えますよ![]()
![]()
歯によごれがついていると、虫歯や歯周病の原因になるばかりではなく、歯の動きも悪くなってしまいます![]()
歯磨きに時間はかかりますが、矯正治療が気持ちよくスムーズに進むように、ブラッシングも頑張ります![]()
![]()
2015月08月22日
歯科衛生士 神戸(ごうど)










