こんにちは![]()
![]()
あっという間に5月が終わり、今年も梅雨の時期がやってきましたね![]()
ドンヨリした雰囲気が少しでも晴れればと、可愛いレインブーツを探している今日この頃です![]()
![]()
さて、矯正の方は前回全部の歯に装置がついてから1か月が経ちましたが、1か月でこれだけ変わりました![]()
![]()
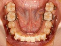
まずは前回の状態です![]()





そして今回の状態です![]()





下の歯の凸凹がかなりとれてきました![]()
歯磨きもしやすいです![]()
![]()
今回の調整では、上下ともワイヤーを一旦外して、前回よりも少し太いワイヤーに変えました![]()
今後も調整のたびに少しずつ太いワイヤーに変えて、歯を動かしていきます![]()



そして、前回のブログでご紹介した小さい輪ゴムを上下の歯の間にかけています![]()
これは自分で取り外し可能で、私の場合は上顎の横の歯と下顎の犬歯の間にかけています![]()
このゴムは、食事と歯磨きのとき以外は基本的に一日中つけています![]()
![]()

日中はどうしても無理という方には、夜寝る時につけて頂きます
でも、日中もつけて頂いた方が効果がありますよ![]()
このゴムをつけることによって、上下の噛み合わせや歯の前後のずれを良くしたり、隙間を閉じたりすることができます![]()
ネイルなどでゴムがかけづらい方には、ゴムをかける専用の器具をお渡ししますので、安心してくださいね![]()
![]()
調整した日の翌日は、やはり歯の痛みがあります![]()
今回もいつものようにおかゆを食べていました
しかし、それもまたイベントのような感覚で楽しめるようになってきましたよ![]()
きれいな歯並びを目指してがんばります![]()
![]()
![]()
2015月06月11日
歯科衛生士 神戸(ごうど)










