こんにちは(´∀`)![]()
いつの間にか、朝晩はすっかり冷え込むようになり、秋本番ですね
秋といえばイベントがたくさんありますよね![]()
さっきも近所の中学校から楽しそうな音楽や、賑やかな声が聞こえてきました
体育祭でしょうか![]()
![]()
患者さんの中には、もうすぐ文化祭があるという学生さんや、ハローウィンのイベントに出るという方もおられて、いろんなお話が聞けて、こちらまで楽しませていただいています![]()
美味しいものの食べすぎにも注意します![]()
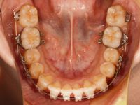
それでは、まずは調整前のお口の中の様子です。





今回はレントゲンを撮って、歯の根っこの並びを確認し、下の前歯のマルチブラケット装置の付け直しをしました![]()
![]()



マルチブラケット装置は、装置を外す専用の器具で外します![]()
外す瞬間は少し衝撃がありました![]()
下の前歯4本には今まで透明のレジンでできた仮の装置が付いていたのですが、全部セラミックの装置に付け替えました![]()
これで、歯についているすべての装置が、本来のセルフライゲーションブラケット装置(クリッピーC)になりました![]()
調整後のお口の中です。





マルチブラケット装置の付ける位置を変えると、今まで着けていた太いワイヤーが入れられなくなったので、ワイヤーのサイズを下げて、少し柔らかいワイヤーに変えました
それでもきつくなったので、今回は久しぶりに歯痛がきましたよ~![]()
でもまた2、3日くらいでおさまりました
上下にかけるゴムは継続中です![]()
![]()
2015月10月11日
歯科衛生士 神戸(ごうど)










