こんにちは![]()
朝晩は涼しくなり、すっかり秋になりましたね
私にとっては食欲の秋
到来です![]()
![]()
さて、今回からいよいよ治療がスタートです![]()
![]()
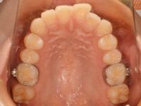
前回ご紹介したように、わたしの歯並びは上も下も前歯の並びがガタガタです。そのままでは隙間が足りず、歯を綺麗に並べることができないので、まずは上下とも歯並びを横
に広げて、隙間を作ることになりました![]()
そのための装置が、側方拡大装置(エキスパンションアーチ)といって、取り外しができない固定式の装置です。今回はこの装置ができるまでをご紹介したいと思います![]()
![]()
最初に、奥歯に金属製の輪っか(バンドといいます)をつけます。バンドにはいろいろな大きさのものがあり、歯の大きさにピッタリ合うものを探し、いくつか合わせていきます。ピッタリ合っていないと治療中に装置が外れやすくなってしまい、治療がうまく進まない原因になってしまいます![]()
バンドを歯と歯の間にグッと押し込むため、始めはきつい感じがします。徐々にその感じは無くなってきますが、私の場合は前後の歯と歯の間がかなりきつく、ジーンとする感じが長く続きました![]()
普段感じることが無かった感覚だったので、違和感たっぷりでした![]()
![]()
歯と歯の間があまりにきつい場合は、間を緩めてからバンドを合わせることもできますよ![]()


次に、バンドがついた状態で歯の型取りをします![]()

そして、取った歯型にバンドを戻し、石膏を流します。石膏が固まると、下のように口の中と同じ状態の模型が出来上がります![]()

この模型上で装置を作ります。装置を作ってくれるのは、歯科技工士の西村綾子さんです![]()
初登場、パチパチパチパチ![]()
![]()
どの装置も西村さんのゴッドハンド
で一つ一つ手作りされています![]()
![]()


それでは続きです![]()
まずバンドの内側に、装置を取り外して調整できるようにする部品を溶接します![]()


次に、歯の内側にぴったり沿わせるようにワイヤーを各部分ごとに曲げていきます![]()
簡単そうに見えますが、ぴったり沿わせるのはとっっっても難しいんですよ
熟練された技なのです![]()


そして、ついに完成しました![]()
![]()

もうすぐ装置がつくと思うとワクワクします![]()
![]()
次回は装置をつける様子をご紹介したいと思います。お楽しみに![]()
2014月10月19日
歯科衛生士 神戸(ごうど)










