こんにちは![]()
いよいよ治療が始まりますよー![]()
![]()
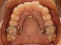
着ける装置は前回のブログで作製したこちらです![]()
![]()


まず、出来上がった装置がぴったり合うかどうかを試しに合わせる“試適”を行います。問題なければ、次は本番です
機械と研磨剤で歯を磨いて、乾燥させた後、バンド部分に接着剤をつけ、装置を装着させます。


そして青い光を当てて接着剤を固めます。その後、バンドの周りにはみ出ている接着剤を取り除きます![]()

装置がつきましたー![]()
このあと、歯並びを広げる力をかけるため内側のワイヤー部分をいったん取り外します。


装置はそのままだと力がかかっていないので、先生が微妙な力加減で調整します![]()

再度ワイヤーを元に戻せば、完了です![]()



装置がついた感想は・・・口の中が狭くなってビックリ![]()
舌をどこに置いても装置にあたるので違和感があったり、サ行とタ行が喋りづらくなりました
ものを飲み込みづらく、食べたものが装置に引っかかってしまうので、食事も大変でした
でも、思ったよりすぐに慣れました![]()
![]()
装置を着けた翌日から、咬むとツーンと歯に響くような痛みが出ました![]()
普段何もしていなければ大丈夫なのですが、硬いものは痛みで咬めませんでした![]()
痛みは装置を着けた次の日から3日目ぐらいまでがピークで、柔らかいもの(豆腐やおかゆ、ヨーグルト、ゼリーなど)を中心に食べて様子をみていたら、一週間もすると不思議なもので、装置の違和感もだいぶ無くなり、歯の痛みも感じなくなってきました![]()
痛みが強く出る方の場合は、市販の痛み止めのお薬を飲んでいただいても結構ですよ![]()
![]()
歯磨きはやっぱり大変です
食べたものが装置に引っかかってしまうので、普段使っている歯ブラシだけではなく、歯間ブラシやワンタフトブラシも使って掃除します![]()
![]()
これからしばらくは、歯並びが広がるまで内側のワイヤーの調整が続きます![]()
今後は歯並びの変化や、お手入れの仕方などもお伝えしていこうと思っています![]()
![]()
2014月11月02日
歯科衛生士 神戸(ごうど)










