こんにちは![]()
![]()
ここのところ、朝晩は涼しい風が吹くようになり、過ごしやすくなってきましたね![]()
夏が終わってしまい寂しいですが、これからは実りの秋ですね![]()
![]()
ますます食欲が湧いてしまいます![]()
![]()
![]()
それでは、今回の矯正治療の様子を紹介したいと思います![]()
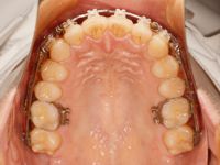
まずは調整前のお口の中の状態です![]()
![]()





かなり綺麗に並んでいますね![]()
そして今回は、右上の前歯の先が欠けていて形が変になっているので、歯の先の部分を削って形を整えました![]()
![]()
下の写真は削る前です![]()

右の前歯の先の両端が変な形をしていますね![]()
タービンという歯を削る機械で、歯の先の出っ張っている部分を削ります![]()


削る前と削った後の比較がこちらです![]()
![]()


歯の形が整って、さらに見栄えが良くなりました~![]()
そして調整後の様子がこちらです![]()





上のワイヤーの横の部分についていた短いワイヤーが外れました
今回も
歯科矯正用アンカースクリューから上下とも後ろ方向に引っ張っています![]()
そして、ここで嬉しいご報告があります![]()
なんと今回で最後の調整となり、次回装置を外すことになりました![]()
最後の仕上げとして、しっかり上下の歯が咬み込むように、ジグザグに顎間ゴムをかけることになりました![]()
ゴムの力が結構強いので口があまり開きません![]()
それでも意外といつも通り会話は出来ました![]()
仕事中や就寝時に使用しています![]()
あと1か月程で装置が外れると思うとワクワクします![]()
ベストな状態で外せるよう、顎間ゴムを頑張って使いたいと思います![]()
![]()
2016月09月11日
歯科衛生士 神戸(ごうど)










