こんにちは![]()
![]()
冬のコートが手放せない日が続きますが、もうすぐ待ちに待った暖かい春
がやってきそうですね![]()
卒業されたみなさん、おめでとうございます![]()
![]()
![]()
![]()
![]()
そして、進学や就職されるみなさんも、新しい生活や環境でも、より一層楽しく、充実した日々を送られることを願っています![]()
![]()
![]()
![]()
では、今回の矯正治療の調整の様子をお伝えします![]()
![]()
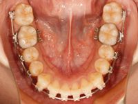
まずは調整前のお口の中です![]()





カレーを食べたせいか、ゴムが黄色く変色してますね![]()
![]()
そして、今回の調整後のお口の中です![]()
![]()





上顎のワイヤーは前回と同じです![]()
想像していたより上顎の歯並びに変化が無かったので、今回は上の歯を後ろ方向へ引っ張る力を強くしました![]()
下顎の方は一番硬いワイヤーに変えました
これで上の前歯が出ている感じが無くなってくるのを祈ります![]()
![]()
今回は番外編があります![]()
2月28日に行われた『カリエスリスクマネジメントと患者さんに伝わる秘訣』というセミナーに行ってきました![]()
![]()
![]()
![]()

講師の先生は、歯科衛生士のライセンスを持っておられる方でした![]()
今まで数々の歯科医院や病院、施設などで勤務された上、デンタルNLPといったいろんな方面で活躍なさっていて、今回そういった素晴らしい方の講演に行かせていただき、刺激を受けました![]()
![]()

NLPとは、Neuro Linguistic Programming(神経言語プログラミング)の略で、心理学・行動学・言語学・脳科学が融合した最先端の心理学です![]()
日常の臨床で、治療の知識と技術に磨きをかけることはとても大切です
しかし、患者さんに一生懸命アドバイスをしても、その言葉が患者さんに届かず、理解や納得を得られなかったとしたら、せっかくの知識やスキルを活かすことはできません![]()
基礎知識が必要であることはもちろんのこと、なんといっても大切なのは、それを患者さんにわかってもらえるようにどのように説明するのか、専門的な知識だけではなく『人としての在り方や生き方』を見つめ直し、患者さんとの信頼関係を築くにはどうすればいいのかというような内容で、早速実践できそうなことを教えていただけたので、すごく為になりました![]()
![]()
また、この先生はとてもユニークな方で、お話もおもしろく、最後まで退屈することなく聴く事ができました![]()
『伝える』のと『伝わる』のとは違うのだということを意識して、これからの診療に生かしていきたいと思います![]()
![]()
2016月03月14日
歯科衛生士 神戸(ごうど)










