こんにちは![]()
![]()
もうすっかり秋ですね![]()
気が付けば11月も中旬、そろそろ紅葉が見頃ですね![]()
今年はずっと乗ってみたかった嵐山のトロッコ列車
に乗って、紅葉を楽しんでみたいと思っています![]()
この時期は、その他にも京都の寺院などで紅葉のライトアップを行っている所も多いので、楽しみです![]()
さて、ここからはマルチブラケット装置調整6回目の様子です![]()
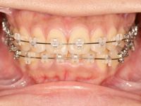
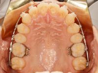
まずは調整前のお口の状態です。ガタガタはもうほとんどなくなっています![]()
![]()





今回は、皆様からよくお問い合わせをいただくホワイトワイヤー(白いコーティングワイヤー)を着けてみましたので、ご紹介したいと思います![]()
装着すると、こんな感じになります![]()
![]()







調整前の写真と比べて、どうでしょうか?パッとした見た目はかなり目立ちにくくなったと思います![]()
より目立ちにくいセラミック製のマルチブラケット装置(クリアティアドバンス)にホワイトワイヤーを装着すると、もっと審美的になりますよ![]()
![]()
ただ、ホワイトワイヤーには欠点があります
ホワイトワイヤーは、通常の金属のワイヤーの表面を白くコーティングしたワイヤーです
歯の細かな調整のためにワイヤーを曲げたり、長期間口の中に入れているとコーティングが剥がれてしまうことがあります![]()
また、通常のワイヤーに比べ多少歯が動きにくいというデメリットもあります![]()
同じワイヤーで細かい調整を繰り返す治療の最終段階には、あまり向いていないので、成人式や結婚式などのイベントの時に一時的にホワイトワイヤーに変えたり、治療の途中段階までといったような使い方が多いです![]()
もちろん最後までホワイトワイヤーで治療することも可能ですが、多少治療期間が延びる可能性がありますのでご注意を![]()
矯正治療は目立つのが嫌だなと感じていらっしゃる方に是非おすすめですよ![]()
![]()
2015月11月12日
歯科衛生士 神戸(ごうど)










