こんにちは![]()
![]()
うだるような暑さが続く毎日ですが、連休中はお天気
にも恵まれて、皆さまはそれぞれの夏を楽しく過ごされていたことと思います![]()
![]()
今夏はオリンピックで日本の選手の方々も大活躍されていて、大盛り上がりですね![]()
![]()
![]()
わたしはお盆休み中、実家に帰省していました![]()
![]()
自然に囲まれて心が癒されました![]()
![]()
帰ってきました長野ー!!![]()
![]()

長野駅も綺麗に生まれ変わってから雰囲気がパッと明るくなり、人の出入りが多くなった気がします![]()
着いてすぐに、お蕎麦を食べにいきました![]()
![]()



やっぱり地元で食べるお蕎麦は一味違います![]()
長野に住んでいたときはそれほど食べたいと思わなかったのですが、今となっては帰省する度に必ず食べています![]()
お蕎麦屋さんには天ぷらは付き物ですが、馬肉も置いているところが多く、長野は馬肉でも有名なんです![]()


大河ドラマ「真田丸」で有名な上田城にも行ってきました![]()
テレビの影響のせいか、見たことないくらい賑わっていました![]()
上田城は桜が綺麗なので、お花見の時期は最高ですよ![]()
![]()
![]()
さて、ここからは今回の矯正治療の様子をご紹介します![]()
![]()
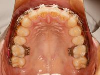
まずは調整前のお口の中です![]()
![]()





上の歯と下の歯の真ん中(正中)が一致しました![]()
![]()
![]()
下の写真は、前回の状態と今回の状態を比較したものです![]()
![]()


この1か月で上下の歯の真ん中が変化したのがわかります![]()
前回までは、上の歯の真ん中が下の真ん中より左にずれていました![]()
上下の真ん中が合っていると見栄えが良いですね![]()
下の前歯の隙間はもう閉じています![]()
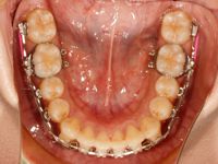
次は、調整後のお口の中の様子です![]()
![]()





見た目にはわかりませんが、今回も細かい所を調整しました![]()
今回も上顎の奥から2番目の歯を後ろに動かしています![]()
奥歯が動くのは非常にゆっくりなので変化はわかりにくいのですが、少しずつ変化しています![]()
下顎の方は、前回から引き続き奥から引っ張っています![]()
![]()
そろそろ装置撤去へのカウントダウンが始まっています![]()
残りの矯正ライフを楽しみながら過ごしたいと思います![]()
![]()
![]()
2016月08月21日
歯科衛生士 神戸(ごうど)










