こんにちは![]()
![]()
あっという間にゴールデンウィークが終わってしまいましたね![]()
皆さんはゆっくり休んでリフレッシュできましたか?![]()
休みは無く、仕事だったという方や、中には目一杯遊びすぎて、休み明けは逆に疲れていたという方もおられると思います![]()
![]()
わたしのゴールデンウィークはというと、長野の実家から家族全員が大阪に遊びに来てくれて![]()
![]()
、海遊館
へ行ったり、神戸市にある北野異人館
や、チャイナタウンの南京町
などの観光スポットをぶらぶらしました![]()
![]()





海遊館にはたくさんの種類の生き物がいて、その中でも巨大なジンベイザメの迫力には興奮しました![]()
ネオン色の小さな魚たち
の群れは、竜宮城のようにとても綺麗で、ずっと見ていたかったです![]()
久しぶりの家族揃ってのお出かけで、気分もリフレッシュできて、連休明けも心機一転で張り切っていきますよ![]()
![]()
さて、ここからは今回の矯正治療の様子をご紹介します![]()
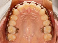
調整前の写真がこちらです![]()





写真では分かりづらいのですが、上顎の1番奥の歯と奥から2番目の歯の間に、舌先で触っても分かるくらいの隙間が出来てきました![]()
![]()
もう綺麗に並んでいるように見えますが、奥歯の咬み合わせを見ると、まだ少し上顎の方が前に出ていて、出っ歯気味です![]()
![]()
そして、調整後の写真がこちらです![]()





前回と同じように、上顎の奥歯を後ろ方向に動かすために、ゴムをかけたのと、分かりづらいですけど、歯並びの細かい調整のためにワイヤーを調節しています![]()
![]()
歯の動きはゆっくりですが、日に日にゴールが近づいてきていると思うと、装置を外すのがとても楽しみです![]()
外したときの感動を夢見て、矯正治療を楽しみたいと思います![]()
![]()
2016月05月16日
歯科衛生士 神戸(ごうど)










