こんにちは![]()
まだまだ寒い日が続いているものの、少し春っぽさも出てきましたね![]()
もうすぐ卒業式を迎える皆さまや、既に春休みに突入している皆さま、これから新たな生活を始める皆さまのお話を聞くと、こちらもウキウキしてきます![]()
![]()
さて、私の矯正治療の方は、ついに念願のマルチブラケット装置(歯を並べる装置)が上あごにつきました![]()
![]()
今回は、この装置がついていく様子をご紹介します![]()
![]()
はじめに歯の外側の面を研磨剤を付けたブラシの機械で綺麗に磨きます
その後、装置を付ける部分に特殊なお薬を塗ります。装置を付けるための接着剤がしっかりくっつくように歯の表面の処理をするためです![]()
上の一番右の写真を見ていただくと、上あごの歯が真っ白になっているのがわかります。これで歯の表面処理は完了です![]()
(歯の表面の色はすぐに戻りますので、ご心配なく
)そして、マルチブラケット装置(今回はセルフライゲーションブラケット装置(クリッピーC)に専用の接着剤を付けて、特殊なゲージで位置を正確に測りながら、一つずつ丁寧に貼り付けていきます![]()
![]()



上の一番右の写真で、先生が持っているものが専用のゲージです
手裏剣みたいにも見えますね![]()
このあと、以前のブログでも登場した青い光をあてて接着剤を固めます![]()

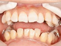
これを繰り返し、上あごの歯全てに装置が付きました![]()
![]()

でも、このままでは歯は並んできません
歯を動かす力をかけるために、ここにワイヤーを装着します![]()



マルチブラケット装置の一種のセルフライゲーションブラケット装置(クリッピーC)は、ワイヤーをとめる部分が開け閉め可能な金属製のフタになってます![]()
フタの部分ををパッと開け閉めすることができるので、ワイヤーの着脱はとてもスムーズです
以前の装置は小さなゴムで装置の周りをくくってワイヤーを押さえつけていましたが、この装置は押さえつける力が歯にかからないので、痛みが少ないのが特徴です![]()
金属部分が気になる方は、装置全面がセラミックでできている、より目立ちにくい装置もありますので、詳しくは当院HPの「矯正装置」をご覧ください![]()





現在このような状態です
思ったほど見た目は気になりませんでした![]()


歯が並んでくることがとっても楽しみです![]()
2015月03月11日
歯科衛生士 神戸(ごうど)













