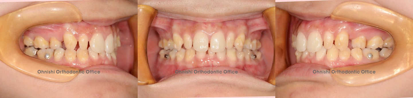
歯がデコボコに重なって萌えている状態です。以前は犬歯(糸切り歯)が外に飛び出している(八重歯)のが可愛い、チャームポイントと言われていた時代がありましたが、最近ではあまり好まれなくなってきています。欧米では”vampire tooth”(吸血鬼の歯)と呼ばれ、嫌がられる傾向があります。
顎の大きさと歯の大きさのバランスに問題があることが多く、お子様の時期から治療することにより、成長を利用して歯並びを広げ、多くの場合歯を抜かずに治療することが可能となります。大人の方の場合は、成長がないため歯並びを広げるには限度があり、歯を抜いてスペースを確保し、ガタガタを並べることが多くなります。



























































